

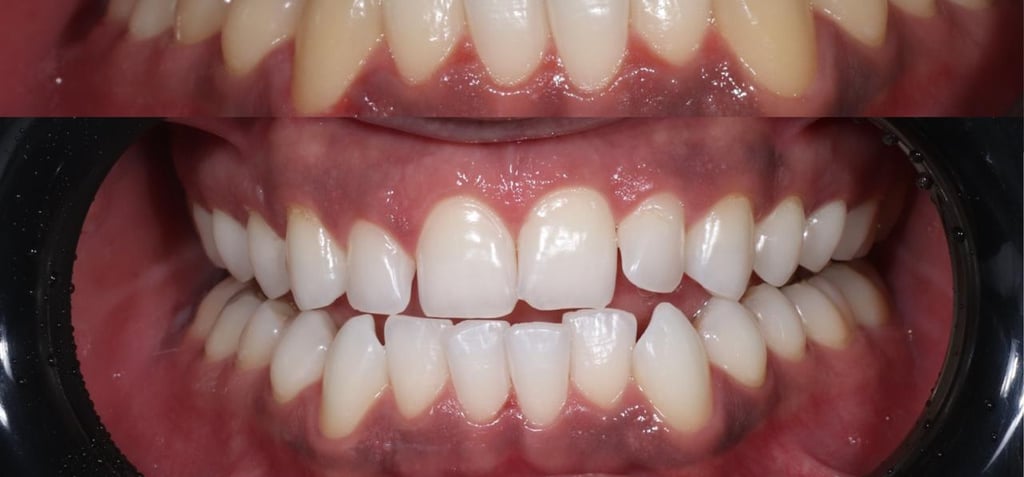
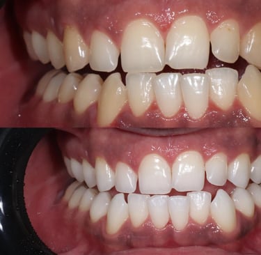
O Que é Clareamento Dental?
O clareamento dental é um procedimento estético seguro e eficaz que remove manchas e pigmentações dos dentes, restaurando a cor natural ou deixando-os ainda mais brancos. Na Sorrir, utilizamos tecnologia de ponta e produtos testados para garantir os melhores resultados.
Benefícios do Clareamento Dental
Melhora na Aparência: Realce a beleza do seu sorriso e aumente sua confiança.
Segurança Comprovada: Procedimento supervisionado por profissionais experientes.
Resultados Imediatos: Em poucas sessões, você já nota a diferença.
Impacto Positivo na Vida Social e Profissional: Um sorriso brilhante abre portas e melhora relações pessoais e profissionais.
Cuidados Após o Clareamento Dental
Evite alimentos e bebidas com corantes intensos por 48 horas.
Mantenha uma rotina de higiene bucal eficiente.
Retorne regularmente para avaliações e manutenção com nossos especialistas.
Por Que Escolher a Sorrir Clínica Odontológica?
Nosso compromisso é proporcionar mais do que tratamentos odontológicos. Queremos ser parte da sua história de confiança e bem-estar. Contamos com tecnologia de ponta, equipe qualificada e um atendimento humanizado, porque entendemos que um sorriso bonito vai muito além da estética — ele reflete quem você é.
Agende Sua Avaliação!
Você merece um sorriso mais branco e confiante! Entre em contato com a Sorrir Clínica Odontológica e comece hoje mesmo sua transformação!
WhatsApp: (38) 99153-6875
Endereços:
Av. Lauro Machado, 491 - Sala 101 - Centro - Turmalina, MG
Avenida São Vicente, 104 - Bairro Vila Tobias - Veredinha, MG


